Un chip implantado en el ojo devuelve la vista a 32 personas
Un microimplante retiniano devolvió a la vista a más de 30 personas. Esta innovadora tecnología ofrece esperanza para aquellos que sufren de degeneración macular asociada a la edad.
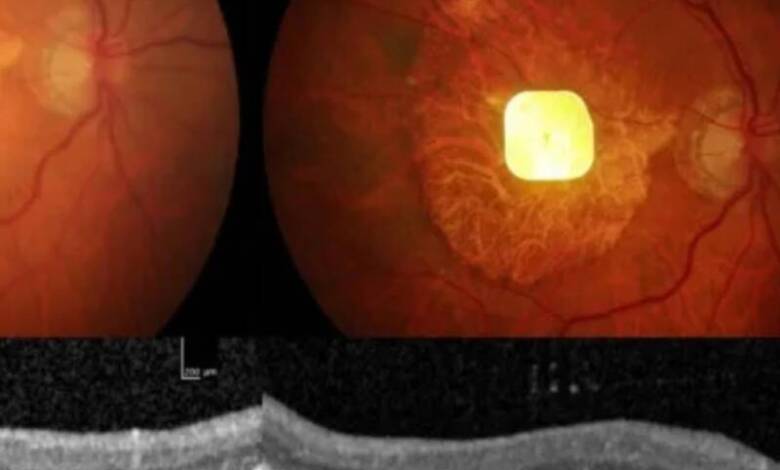
El innovador implante PRIMA, un microchip del grosor de una tarjeta SIM, restauró parcialmente la visión de 32 personas. Este chip fotovoltaico se coloca debajo de la retina y trabaja en conjunto con un par de gafas especiales para restaurar la visión funcional. A través de una red fotovoltaica de solo 30 micras de grosor, el implante envía pulsos eléctricos a las células bipolares de la retina, lo que permite que los pacientes con degeneración macular seca (DMAE) logren leer letras y reconocer patrones visuales.
El ensayo clínico, publicado en la revista New England Journal of Medicine (NEJM), reveló que un 80% de los pacientes, 32 de los 38 participantes, recuperó visión central y mejoró su agudeza visual. Este avance es crucial, ya que la DMAE seca no tiene tratamiento conocido y el implante PRIMA es la primera solución que logra devolver algo de visión a los pacientes. Además, la recuperación no se limita a la sensibilidad a la luz, sino que se enfoca en la restauración funcional de patrones visuales básicos, como leer y reconocer objetos.
Cómo funciona el implante PRIMA
El sistema está compuesto por dos elementos clave: el chip fotovoltaico insertado en la retina y unos lentes de sol especiales. Estos últimos cuentan con una cámara que captura imágenes y un procesador que convierte esas imágenes en un mapa de luz infrarroja, proyectado directamente al ojo. El chip subretiniano recibe estos pulsos y genera microcorrientes eléctricas que estimulan las células responsables de transmitir señales visuales al cerebro. Así, los pacientes experimentan la restauración de la visión, al menos en términos funcionales.
+ INFO: Crean lentes de contacto que permiten ver con los ojos cerrados
+ INFO: Un hombre recuperó la vista gracias a una innovadora terapia génica




